iMerit’s Ango Hub provides data pipeline workflow automation and purpose-built applications on a Gen AI framework to accelerate AI development in key industries such as healthcare AI, autonomous mobility, precision agriculture and many more.
Vendor
iMerit
Company Website



AI data workflow automation platform
Your Launchpad for Accelerating AI into Production
Supercharge Your Data!
AI-Assisted features of the Ango Hub will automate your AI data workflows to improve data labeling efficiency and model RLHF, all while allowing domain experts to focus on providing high-quality data.
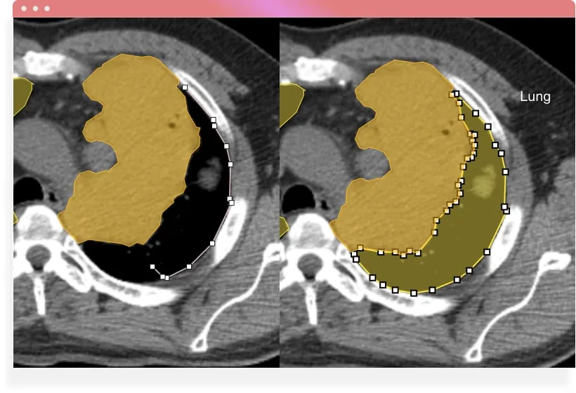
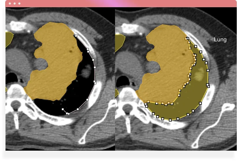
AutoDetect
Auto-labeling of objects in a frame with a highly-trained ML model for improved efficiency
OCR
Optical Character Recognition (OCR) to detect, transcribe, and localize the text on an image
Magnetic Lasso
Interactive tool for encapsulating objects within a polygon to detect object boundaries
Improve Annotation Quality
Ango Hub by iMerit is built on quality-first principles to deliver precise annotations for training AI models.
- Workflow Assignment: Assign multiple annotators to the same asset in the workflow
- Sample Labels for Training: Mark edge cases or good annotations as a sample for the annotation team
- Quality Control: Reviewers can accept, reject, or fix someone else’s labels
- Real-time Troubleshooting: Annotators can ask questions directly, which notifies project managers instantly
- Benchmark: Add benchmarks to tasks to measure performance and annotate again if needed
- Guidelines: Labeling guidelines can be uploaded to the platform to align the annotation team.
Label Multiple Data Types of Any Size
With industry-standard keyboard shortcuts on Ango Hub, annotators of varied skill levels can work with the tool effortlessly to annotate various data types.
Image Annotation
JPG, PNG, or multi-page TIFF- Ango, iMerit’s data annotation tool supports all image formats
Video Annotation
From SD to full-motion 4K video, Ango offers a smooth video labeling and object-tracking experience
Text Annotation
Named entity recognition (NER), entity extraction, relations, and classifications like radio, checkbox, and more
Document Annotation
Native PDF annotation with no size limit and table labeling feature for annotating long documents
Audio Annotation
For MP3 or WAV, Ango supports all workflows – recognize, classify, summarize, paraphrase, or transcribe
DICOM Annotation
8 to 12-bit, B&W, color, single or multi-frame, and 3D with built-in anonymizer for sensitive information
Track Your Data Annotation Project
Review Workflows
- Ability to choose labelers/reviewers by their email
- Assign as many reviewers as you need
- Create custom workflows to match your project
Annotator Performance
- Access to detailed data on labeler performance, including who has worked, how many labels, time per task, and accuracy.
- Identify top performers, track progress over time, and identify improvement areas
Real-Time Issue System
- Annotators can send questions to reviewers and project managers in real time for instant feedback.
- Ensures label accuracy
- Faster query resolution
User Roles and Permissions
- Control data access by role or user to ensure everyone has what they need
- Roles include admin, member, labeler, reviewer, lead, and manager
Import Data & Pre-labels
- Import labels from a model or a previous labeling job
- Save your time and effort and get your project up and running quickly
Analysis and Reports
- Get visibility into project performance and reports
- See how many labels were done each day, how well, and many other KPIs and metrics
- Track progress and identify areas for improvement